Malaria Parasite - Discovery Of Malaria Parasite S Clock Could Pave Way To New Treatments Hhmi Org - Sporozoites from the saliva of a biting female mosquito are.

Malaria Parasite - Discovery Of Malaria Parasite S Clock Could Pave Way To New Treatments Hhmi Org - Sporozoites from the saliva of a biting female mosquito are.. A diverse group of anopheles (30 to 40 species) serves as vectors of human disease. In all stages, however, the same parts of the parasite will stain the same colour: Malaria parasites are transmitted by female anopheles mosquitoes. News tagged with malaria parasite. All the plasmodium species causing malaria in humans are malarial parasite life cycle.

Sporozoites from the saliva of a biting female mosquito are. Although humans share most of their genes—and many analogous diseases—with chimpanzees, these close relatives are not likely to blame for the menace of human malaria. The human species has suffered from malaria for thousands of years. We're investigating the biological consequences of genetic variation in the plasmodium parasites that cause malaria, in order to answer crucial questions about malaria transmission and. All the plasmodium species causing malaria in humans are malarial parasite life cycle.

Genomics In Malaria An Interview With Dyann Wirth Infectious Diseases Hub
Genomics In Malaria An Interview With Dyann Wirth Infectious Diseases Hub from www.id-hub.com
Malaria parasites are transmitted by female anopheles mosquitoes. Malaria parasite, how to tame malaria parasite, malaria causes, symptoms and treatment, home remedies of malaria at thehealthsite.com. Although humans share most of their genes—and many analogous diseases—with chimpanzees, these close relatives are not likely to blame for the menace of human malaria. We're investigating the biological consequences of genetic variation in the plasmodium parasites that cause malaria, in order to answer crucial questions about malaria transmission and. Female anopheles mosquitoes and humans. Malaria parasites pass through a number of developmental stages. Infection by this parasite is known to cause malaria. There are many different types of plasmodium parasite.

There are many different types of plasmodium parasite.

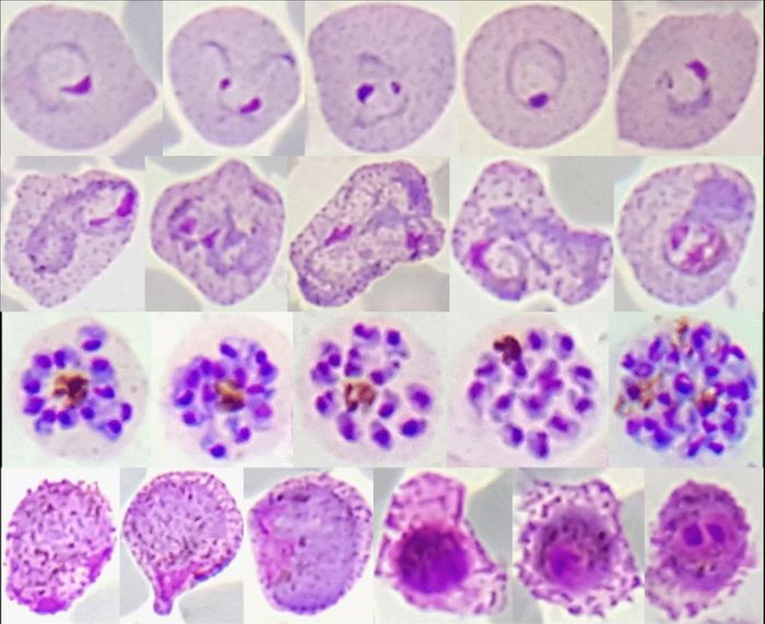
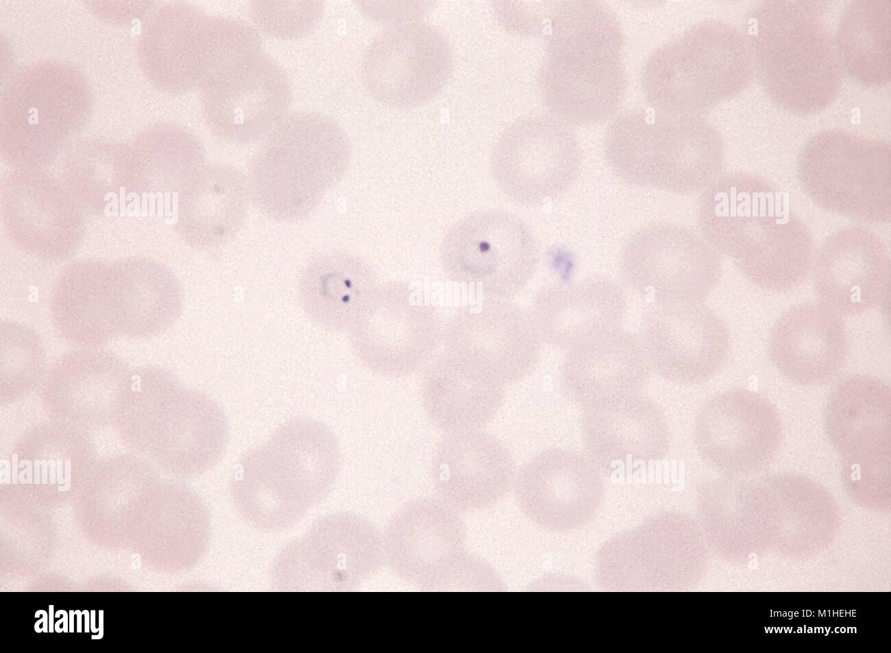
In all stages, however, the same parts of the parasite will stain the same colour: The human species has suffered from malaria for thousands of years. Malaria causes and risk factors. There are many different types of plasmodium parasite. Malaria parasite and their stages by the conventional methods. Malaria parasite, how to tame malaria parasite, malaria causes, symptoms and treatment, home remedies of malaria at thehealthsite.com. The genus plasmodium was discovered in 1885 by marchiafava and celli. Damaged malaria parasites in circulating erythrocytes are removed from the. The proposed method involves each of the four species of malarial parasites (p.falciparum, p.vivax, p.malariae, and p.ovale) with an. Although humans share most of their genes—and many analogous diseases—with chimpanzees, these close relatives are not likely to blame for the menace of human malaria. We're investigating the biological consequences of genetic variation in the plasmodium parasites that cause malaria, in order to answer crucial questions about malaria transmission and. Malaria is caused by the plasmodium parasite. In ancient egypt malaria probably occurred in lowland areas;

Malaria is caused by plasmodium parasites. Although humans share most of their genes—and many analogous diseases—with chimpanzees, these close relatives are not likely to blame for the menace of human malaria. Only female mosquitoes spread the malaria parasites. Malaria parasite and their stages by the conventional methods. Malaria is a contagious parasitic disease caused by a parasitic organism called plasmodium and transmitted by mosquito bites.

Malaria Parasites In Nigeria Are Genetically Diverse A Danger But Also A Useful Tool
Malaria Parasites In Nigeria Are Genetically Diverse A Danger But Also A Useful Tool from images.theconversation.com
Infection by this parasite is known to cause malaria. For the multinucleate stage of some microorganisms, see plasmodium (life cycle). There are 5 parasite species that cause malaria in. We're investigating the biological consequences of genetic variation in the plasmodium parasites that cause malaria, in order to answer crucial questions about malaria transmission and. Malaria is transmitted by the bite of an infected female anopheles mosquito, one of the few species of the insect capable of carrying the human malaria parasite. News tagged with malaria parasite. Scientists have solved a key parasitic puzzle, revealing the unique and complex structures toxoplasmosis and malaria parasites make in order to survive in. See an animated powerpoint slide of the malaria parasite lifecycle.

More than 200 species of the genus plasmodium (=plasma + eidos, form).

Malaria parasite and their stages by the conventional methods. The malaria parasite develops both in humans and in the female anopheles mosquitoes. Malaria is caused by the plasmodium parasite. Malaria is caused by plasmodium parasites. Only female mosquitoes spread the malaria parasites. Malaria is transmitted by the bite of an infected female anopheles mosquito, one of the few species of the insect capable of carrying the human malaria parasite. We're investigating the biological consequences of genetic variation in the plasmodium parasites that cause malaria, in order to answer crucial questions about malaria transmission and. Malaria parasites pass through a number of developmental stages. All the plasmodium species causing malaria in humans are malarial parasite life cycle. The parasites multiply within red blood cells, causing symptoms that include symptoms of anemia (light headedness, shortness of. Malaria is a contagious parasitic disease caused by a parasitic organism called plasmodium and transmitted by mosquito bites. Malaria causes and risk factors. The parasite can be spread to humans through the bites of infected mosquitoes.

The natural history of malaria involves cyclical infection of humans and female anopheles mosquitoes. The parasite can be spread to humans through the bites of infected mosquitoes. It is preventable and curable. See an animated powerpoint slide of the malaria parasite lifecycle. Malaria is transmitted by the bite of an infected female anopheles mosquito, one of the few species of the insect capable of carrying the human malaria parasite.

Discovery Of Malaria Parasite S Clock Could Pave Way To New Treatments Hhmi Org
Discovery Of Malaria Parasite S Clock Could Pave Way To New Treatments Hhmi Org from www.hhmi.org
• chromatin (part of the parasite nucleus). For the multinucleate stage of some microorganisms, see plasmodium (life cycle). See an animated powerpoint slide of the malaria parasite lifecycle. More than 200 species of the genus plasmodium (=plasma + eidos, form). Malaria is caused by plasmodium parasites. Malaria parasites pass through a number of developmental stages. In ancient egypt malaria probably occurred in lowland areas; Malaria parasites are transmitted by female anopheles mosquitoes.

See an animated powerpoint slide of the malaria parasite lifecycle.

Malaria is transmitted by the bite of an infected female anopheles mosquito, one of the few species of the insect capable of carrying the human malaria parasite. For the multinucleate stage of some microorganisms, see plasmodium (life cycle). The parasite can be spread to humans through the bites of infected mosquitoes. Malaria parasites spread by successively infecting two types of hosts: Damaged malaria parasites in circulating erythrocytes are removed from the. Malaria is caused by plasmodium parasites, which are carried by anophelesmosquitoes. Scientists have solved a key parasitic puzzle, revealing the unique and complex structures toxoplasmosis and malaria parasites make in order to survive in. The human species has suffered from malaria for thousands of years. Malaria parasite and their stages by the conventional methods. Although humans share most of their genes—and many analogous diseases—with chimpanzees, these close relatives are not likely to blame for the menace of human malaria. One of the major hurdles in designing an effective subunit. Malaria is caused by protozoan parasites called plasmodia, belonging to the parasitic phylum apicomplexa. Malaria causes and risk factors.

Infection by this parasite is known to cause malaria malaria. Malaria causes and risk factors.

Malaria Parasite - Discovery Of Malaria Parasite S Clock Could Pave Way To New Treatments Hhmi Org - Sporozoites from the saliva of a biting female mosquito are.. There are any Malaria Parasite - Discovery Of Malaria Parasite S Clock Could Pave Way To New Treatments Hhmi Org - Sporozoites from the saliva of a biting female mosquito are. in here.